YouTube
고덕퍼스트치과
유튜브 영상
치료 과정과 치과 정보를
영상으로 확인하세요
영상 준비 중
영상 준비 중
Clinical Results
충치 치료 임상,
과정부터 완성까지
진단부터 마무리까지 단계별로
실제 치료 과정을 확인하세요
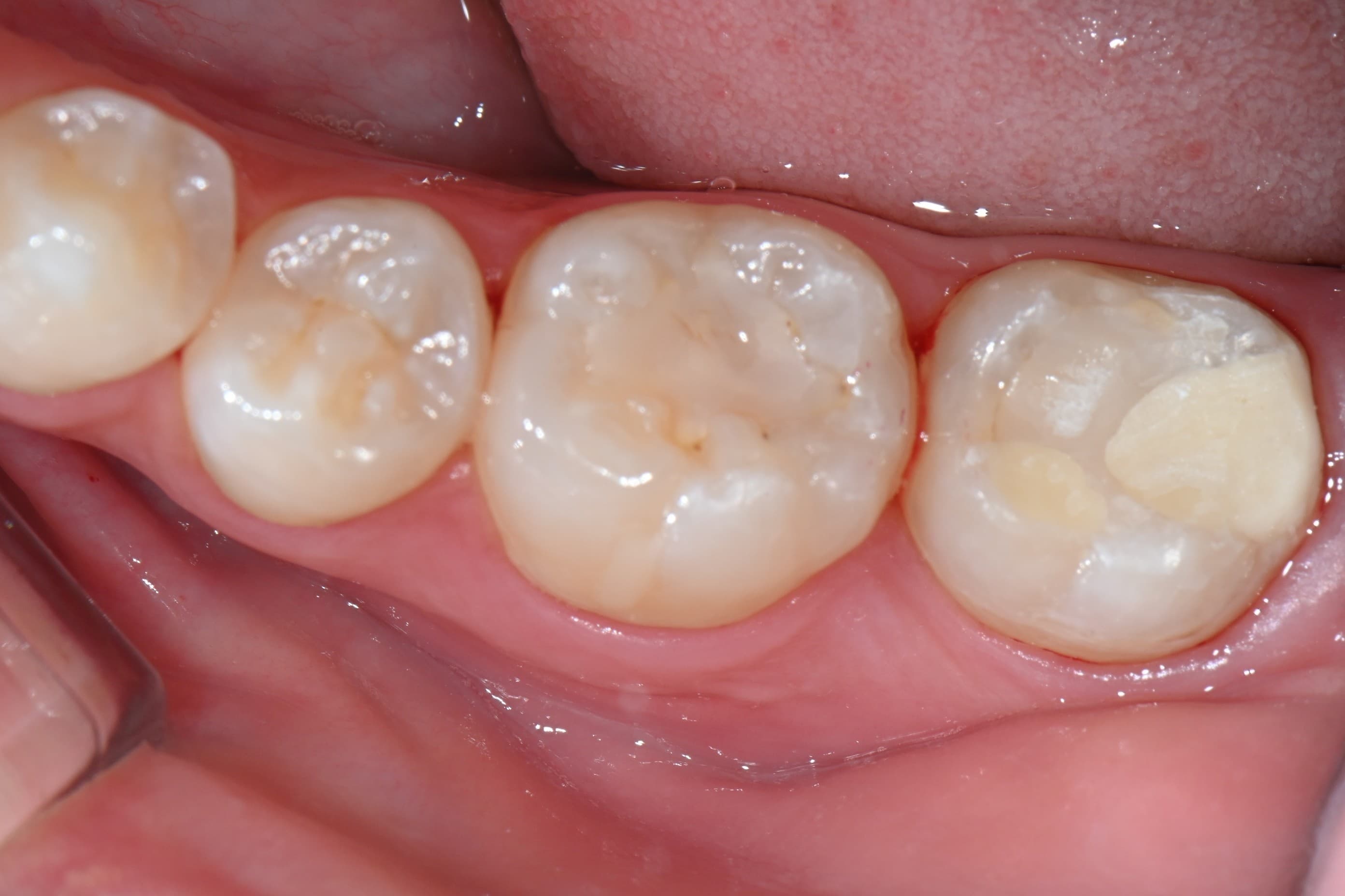
충치 부위를 정밀하게 제거하고 자연 치아 색상의 레진으로 깔끔하게 수복
치료 전 상태

어금니에 충치가 진행된 상태입니다. 치아 표면에 충치로 인한 변색과 손상이 확인됩니다.
치료 완료

충치를 완전히 제거하고 자연 치아 색상의 레진으로 수복했습니다. 치아 형태가 깔끔하게 회복되었습니다.
모든 케이스는 고덕퍼스트치과 실제 임상입니다. 트리오스5 구강 스캐너로 정밀 채득하고, 통합치의학과 전문의가 직접 진료합니다.
Clinical Column
원장이 직접 기록한
충치 치료 이야기
가장 좋은 치료는 정확한 진단에서 시작됩니다.
실제 사례를 통해 치료 과정을 투명하게 공개합니다.
옆면 충치, 세라믹 인레이로 치료
어금니 초기 충치 레진 치료
아말감 2차 우식 인레이 치료
충전물 탈락 옆면 우식 인레이 치료
깨진 치아 세라믹 인레이 치료
네이버 블로그에서 전체 칼럼 보기
“
이렇게 꼼꼼하게 봐주는 치과가 있을 줄 몰랐어요
고덕퍼스트치과 실제 내원 환자 후기
충치 치료는 제거 이후가 더 중요합니다
형태·교합·색상까지 섬세하게 완성합니다
치료 방법과 장비
상태에 맞는 치료법을 선택하고
정밀한 장비로 완성도를 높입니다
충치 치료
초기 충치 치료
정밀 진단으로 숨은 충치까지 발견
레진 치료
자연 치아와 동일 색상으로 심미적 복원
인레이 · 온레이
넓은 충치도 발치없이 정밀 보존 치료
신경 치료
통증 완화
심한 치통 제거로 편안한 일상 회복
치아 보존
발치없이 자연 치아 살리기
정밀 신경 치료
통합치의학과 전문의 직접 집도
전문 장비

트리오스5 구강 스캐너
최신 디지털 스캐너로
불편한 본뜨기 없이 정밀 채득
끈적한 인상재 없이 초고속 3D 스캔
디지털 데이터로 더 정밀한 보철물 제작
충치 제거 직후 바로 스캔해 맞춤 제작
편안한 치료 경험, 오차 최소화
트리오스5는 3Shape의 최신형 구강 스캐너로, 수분이 있는 환경에서도 정밀하게 치아 형태를 채득할 수 있습니다. 인레이·온레이·크라운 치료 시 훨씬 정확하고 편안한 치료가 가능합니다.
트리오스5 디지털 스캔으로
더 정밀하게
불편한 본뜨기 없이 3D 스캔으로
인레이·크라운을 맞춤 제작합니다

트리오스5 구강 스캐너
3Shape의 최신 구강 스캐너로 끈적한 인상재 없이 초고속 3D 스캔이 가능합니다
수분이 있는 구강 환경에서도 오차 없이 치아 형태를 정확하게 채득하여 더욱 잘 맞는 인레이를 제작합니다

치료 직후 바로 스캔
충치 제거 및 모양 형성이 완료되면 바로 구강 스캔을 시행합니다
스캔 데이터를 전문 기공소로 전송하여 정밀하게 맞춤 제작된 인레이를 완성합니다
불편한 본뜨기 없음
끈적한 인상재 대신 초고속 3D 스캔으로 편안하게 치아 형태를 채득합니다
정밀한 맞춤 보철
디지털 데이터 기반으로 오차를 최소화한 인레이를 제작합니다
검증된 전문 기공소
원장이 직접 엄선한 전문 기공소에서 고품질 세라믹 보철물을 제작합니다
.png&w=750&q=75)
통합치의학전문의 이동현 원장
고덕퍼스트치과
최고의 의료진

이동현
대표원장치의학 석사
통합치의학과 전문의(보건복지부 인증)
- 조선대학교 치과병원 외래교수
- 서울대학교 치의학대학원 임플란트 치의학 우수상 수료
- 서울대학교 치의학대학원 고급치의학 수료
- 서울 경기고등학교 졸업
- 경기고등학교 동문치과
- 대한통합치의학 학회 정회원
- 오스템, 포인트, 덴티스 임플란트 연구자문위원
- Pennsylvania univ. 근관치료과정 수료
- ATC Implant Advanced 과정 수료
- KAYA 치과병원 Prosthetic Course 수료
- JPDA 소아치과 임상연수회 수료
- 턱관절장애교육연구회 수료
- 전) 이편한세상치과 원장
- 전) 퍼스트인치과 원장

.png&w=750&q=75)
고덕퍼스트치과가
최고인 이유
1
보건복지부 인증
통합치의학과 전문의
대표원장이 직접 상담, 수술, 사후관리까지 책임집니다

2
오스템, 포인트, 덴티스
임플란트 연구자문위원
국내 대표 임플란트 기업의 연구자문위원으로 활동하며
최신 기술과 장비를 직접 활용합니다

3
최신 디지털 장비 완비
3D CT, 디지털 스캐너, 디지털 가이드 수술 시스템 등
최첨단 장비로 정밀한 진료를 제공합니다




병원 시설








경기 평택시 고덕로 250 에듀스카이 4층 401, 402호
진료시간
예약 문의
하단 버튼을 통해 AI 예약, 전화 상담, 또는 네이버 예약을 이용하실 수 있습니다.
자주 묻는 질문
다른 곳에서 발치하라는데 살릴 수 있나요?
네, 가능성이 높습니다. 고덕퍼스트치과는 통합치의학전문의가 정밀 진단합니다. 일반 치과에서 보이지 않던 살릴 방법을 찾을 수 있으며, 자연치아를 살리는 것을 최우선으로 합니다. 정밀 진단 후 최선의 방법을 안내해 드립니다.
신경치료, 아프지 않나요?
최신 통증 완화 마취 시스템으로 통증을 최소화합니다. 불안하신 분은 의식하진정요법(수면마취)으로 편안하게 시술받으실 수 있습니다. 통합치의학전문의의 정밀한 치료로 재발과 부작용을 최소화하며, 치료 후 지속적으로 관리해 드립니다.
충치 치료, 시간이 오래 걸리나요?
초기 충치는 레진 치료로 빠르게 완료되며, 넓은 충치는 인레이 시스템으로 치료가 가능합니다. 신경치료가 필요한 경우 2-3회 내원이 필요하지만, 정밀 치료로 치료 횟수를 최소화합니다. 개인의 구강 상태에 따라 정확한 기간을 안내해 드립니다.
충치 치료, 보험 적용되나요?
네, 대부분의 충치 치료는 건강보험이 적용됩니다. 레진 치료, 신경치료, 크라운 등 기본 치료는 보험 혜택을 받으실 수 있으며, 인레이/온레이는 본인 부담이 발생할 수 있습니다. 초진 시 정확한 비용과 보험 적용 여부를 상세히 안내해 드립니다.